アメリカ歯周病学ボード認定
歯周病専門医
日本国内に20名弱のみの専門資格
歯周病治療における最高峰の資格である『アメリカ歯周病学ボード認定歯周病専門医』。当院の呂宗彦は、その資格を保有する歯周病治療における難症例にも対応できる歯科医師です。
歯周病でお困りの方、他院で抜歯しかないと宣告された方、数多くの症例を経験し、しっかりとした実績をもつ呂宗彦にご相談ください。
以下項目をクリックすると、該当箇所へ遷移します。
歯周病治療における最高峰の資格である『アメリカ歯周病学ボード認定歯周病専門医』。当院の呂宗彦は、その資格を保有する歯周病治療における難症例にも対応できる歯科医師です。
歯周病でお困りの方、他院で抜歯しかないと宣告された方、数多くの症例を経験し、しっかりとした実績をもつ呂宗彦にご相談ください。
当院の呂宗彦は2017年に、アメリカのカリフォルニア州にあるロマリンダ大学歯学部大学院の歯周病専門医養成プログラムを卒業しました。
このようなアメリカのプログラムは通常3年間で、歯周病とインプラントに関する専門的な教育を受け、実際に300以上の外科症例を行うことで卒業資格を得られます。
卒業後は、2018年にアメリカ歯周病学ボード認定歯周病専門医を受験しました。この試験はアメリカ歯周病専門委員会(The American board of periodontology)による認定医制度で、半日を要する筆記試験と臨床症例に関する口頭試問に合格すると、認定歯周病専門医(Board deplomat)の称号が得られます。
現在、日本国内でこの称号を有する歯周病専門医はわずか20名弱です。
2017年のプログラム卒業と同時にアメリカ歯科医師国家試験にも合格し、歯周病専門医としてネバダ州ラスベガスの歯周病専門クリニック(Anthem Periodontics and implant)にて歯周病専門医として1年間勤務し、帰国しました。
歯周病の治療には正確な診断と予後(生存率)の判定が不可欠です。
特に抜歯の判断や重度歯周病では様々な要因を検討しなければなりません。
アメリカで学んだ知識や治療法をより多くの歯周病で悩む患者さまに還元できるよう精進しています。
歯周ポケットが改善されない部位については、なんらかの汚れが残っているか、あるいは汚れがたまりやすいなどの問題点が改善されていないということで、歯茎の中の状態を直接確認する必要があります。
その場合は外科処置を行い、必要に応じて歯を支えている骨の形を整えたりなどの処置を行い、経過を観察します。
これらの治療の経過で、磨けていないところの指摘や必要に応じて生活指導を行っていきます。
治療後その結果を再度検査し、経過が良好な場合は、治療効果を長持ちさせるために必要なかぶせものなどの処置を行っていきます。
歯のないところは、入れ歯やブリッジやインプラントなどの処置が必要となります。
治療後は、良い口腔内の状態を長持ちさせるために、定期的にメンテナンス治療を受けていただくのが好ましいと考えております。
歯は常に口の中の細菌、特に歯周病に関係する細菌にさらされてしまう時間が長いのです。さらに歯軋りなどのストレスを受けてしまうと、歯の周囲の組織が破壊されてしまうため、歯周病になります。
毎日、食事をすることで、歯は少しずつ削れてきます。さらに仕事や、日常生活のストレスなどで、歯を食いしばり、無意識のうちに歯軋りをすることによって精神的にはバランスがとれるかもしれませんが、歯を支える組織は悲鳴をあげることがあります。
疲れると歯茎が腫れ、歯が浮いた感じがします。身も心もストレスで疲れ、抵抗力が無くなります。その上特定の歯にストレスが集中してしまうことが多いのです。それをそのまま放置することが歯周病を進行させる大きな原因となります。
さらに、虫歯の治療をした歯やかぶせ物をした歯は、健全な歯に比べると、実際の歯とは違う材料のものを使って治療されてるため、健全歯に比べて歯の削れ方や力の受け方が変わってくるのです。
つまり、歯や歯の周囲の組織も、若いころとは違って、歯もすり減ったり形が変わったりして、力が集中しやすくなります。免疫などの抵抗力も経年的に落ちます。その変化に応じてなるたけ快適に食事などの生活を営むことができるように調整するお手伝いをするのが、歯周病の治療の一つです。
歯周病が恐ろしいのはケアできていない部分に容易に再発するというところにあります。そのためにはまず、細菌を特定の歯に集中させないために、患者さまご自身で口腔清掃について勉強していただきます。
問題のあるところは磨けていないところがほとんどなのです。そのような部位を少なくするためにはどのようなツールを使ってどのように清掃していけばよいのか、勉強していただき、実践していただきます。
歯周病は歯周組織(歯根膜、歯肉、骨)に起こる感染症です。適切なステップをふめば重度の歯周病の進行を止めることができます。
そのステップの第一として“歯周病を知る”ことを患者様に推奨しております。直面している病気を詳しく学ぶことで治療が終了した後のメンテナンスの質が変わってきます。
是非 “歯周病を知る” を参照してください。
歯周病は歯周組織(歯根膜、歯肉、骨)に起こる感染症であり、この感染症を引き起こす原因となるのはデンタルプラーク(歯垢)です。
デンタルプラークの中には様々な形や性質を持った菌(球菌、桿菌、スピロヘータなど)が存在します。
P.gingivalisという歯周病の原因となる桿菌です。
Streptococcus Mutansという虫歯の原因となる球菌です。

これらの菌が一定期間以上、歯の表面に停滞するとバイオフィルムという菌の集合体が形成されます。
バイオフィルムが形成され始めると菌同士がお互いに信号を出し合い、自分達により良い環境を作りながら肥大していきます。成熟するとバイオフィルム内の環境を保つためのチャネルを形成し、一種のエコシステムを作り出します。
これにより、頑丈な菌の集合体が出来上がります。
下記は、電子顕微鏡で拡大した実際のバイオフィルム内の画像です。様々な形の菌が集合しているのがわかります。

この様なバイオフィルム内に集合している歯周病原因菌は様々な毒素(炎症起因物質)を放出します。
LPSという毒素の実際の画像です。

この様な毒素は歯ぐきの炎症を引き起こします。
炎症により歯と歯ぐきの隙間(歯周ポケット)は次第に深くなり、歯ブラシなどによる清掃が困難になることで、さらに深く進行していきます。

歯ぐきに起きた炎症を放置しておくと、炎症を起因として骨が自ら吸収して(溶けて)いきます。
早期に治療を行わなければ、上記のように重症化し、抜歯に至る場合もあります。
また、歯周病は主にプラークの蓄積による感染症ですが、下記に当てはまる方は重症化することがあります。

歯周病の治療に正確な診断は不可欠です。
歯周ポケットの深さ、出血の有無、歯の動揺度、X線での骨の吸収度などを診査し、重症度と予後(治療効果)の判定を行います。
歯周病はプラークの蓄積による感染症です。
治療の第一段階はこのプラークを徹底的に落とすため、歯ブラシ指導を行います。
また、患者様ご自身がプラークを落としにくい場合(虫歯、合っていない詰め物や被せ物)は積極的に歯の修復治療や矯正治療も同時に行っていく場合もあります。
治療の第二段階では、スケーリング・ルートプレーニングを行い、歯根にこびり付いた歯石やバイオフィルムの除去を行います。
歯石は細菌の死骸が結晶化したものです。
それ自体の病原性は低いものの、新たなバイオフィルムが付着するきっかけになります。
スケーリング・ルートプレーニングに加えて、必要があれば抗生剤などを併用することもあります。
治療の第三段階では、必要であれば、外科治療を行います。
歯肉の状態や、骨の吸収度によって様々な外科治療があります。必ず歯科医師に相談してください。

歯周病の進行が原因で失われてしまった歯を支えている骨を再び再生されることが可能です。しかしながら全ての症例に適応できるわけではありません。
骨の吸収度合いや吸収形態、または軟組織の厚みなどによっては、他の治療方法または抜歯を選択することもあります。治療方法の選択には事前に精密検査が必要です。必ず相談してください。

再生療法ではまず歯茎を切開、剥離した後に歯根面を除染していきます。
その後、骨が吸収している部分を移植材または特殊な薬剤(骨の成長因子)などを用いて埋めていきます。
最後に膜で蓋をし、縫合、止血していきます。
歯周組織再生療法の症例
矯正治療後や慢性的な過度のブラッシング、歯周病などが原因で歯肉が痩せて歯根が露出することがあります。
歯根露出は審美的な問題、知覚過敏、歯根の虫歯の原因になります。この様なケースでは根面被覆術を推奨しています。根面被覆術では主に患者様ご自身の歯ぐきを露出した歯根面に移植します。
治療方法の選択には事前に精密検査が必要です。必ず相談してください。
歯周形成外科療法の症例
虫歯や審美的な目的で被せ物(クラウン)の治療を行う場合、残っている歯の高さが重要です。この高さ多ければ多いほど、被せ物の内面の接着面積が増え、外れにくい構造になるからです。
また、残っている歯のマージン(歯の縁)が確実に歯茎から出ていることも重要です。マージンが歯茎で隠れていると、被せ物の型取りが上手くできず、正確な被せものができないからです。

笑顔を美しく見せるためには、歯肉をバランス良く左右均等に整える必要があります。
歯冠長延長術により、より理想的な笑顔を作ることができます。
| 年齢 | 38歳女性 |
|---|---|
| 主訴 | 数本の歯が揺れはじめたことを理由に来院 |
| 治療内容 | プラークや歯石に伴い赤く腫れた歯茎が認められます(左図)。歯周病の基本的な治療に加え、一部外科処置を行い、5年が経過しました(右図)。適切なメンテナンスにより歯の揺れもなくなりました。 |
| 治療期間 | 約5年間 |
上の二枚は初診時。大きな歯石(赤マル)が大量に歯根面に沈着し、それに伴い骨の吸収が認められます(青矢印)。下の二枚が5年後。骨の吸収が止まり一部骨再生が認められます(緑矢印)。
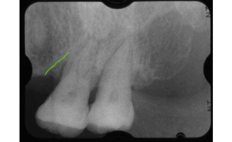
| 年齢 | 42歳女性 |
|---|---|
| 治療内容 | 初診時に右上の小臼歯部に骨の吸収が認められます(左図)。神経が死んでしまっていたので、根の治療を行ってから再生療法を行いました(右図)。点線部が再生された領域です(右図)。 |
| 年齢 | 64歳女性 |
|---|---|
| 治療内容 | 初診時に左上の小臼歯部に骨の吸収が認められます(左図)。再生療法を行い点線部が領域が再生されました(右図)。 |
| 年齢 | 72歳男性 |
|---|---|
| 治療内容 | 初診時に左下の大臼歯部に骨の吸収が認められます(左図)。再生療法を行い点線部が領域が再生されました(右図)。 |
| 年齢 | 70歳男性 |
|---|---|
| 治療内容 | 初診時に右上の小臼歯部に骨の吸収が認められます(左図)。再生療法を行い点線部が領域が再生されました(右図)。 |
| 年齢 | 62歳男性 |
|---|---|
| 治療内容 | 初診時に左上の小臼歯部に骨の吸収が認められます(左図)。再生療法を行い点線部が領域が再生されました(右図)。 |
| 年齢 | 48歳男性 |
|---|---|
| 治療内容 | 初診時に左上の大臼歯部に骨の吸収が認められます(左図)。再生療法を行い点線部が領域が再生されました(右図)。 |
| 年齢 | 48歳男性 |
|---|---|
| 治療内容 | 初診時に左上の大臼歯部に骨の吸収が認められます(左図)。いちばん後ろの歯は破折のため抜歯しました。手前の歯に再生療法を行い点線部が領域が再生されました(右図)。 |
| 年齢 | 41歳女性 |
|---|---|
| 治療内容 | 初診時に左上の臼歯部に骨の吸収が認められます(左図)。再生療法を行い点線部が領域が再生されました(右図)。 |
| 年齢 | 80歳女性 |
|---|---|
| 治療内容 | 初診時に右上の臼歯部に骨の吸収が認められます(左図)。再生療法を行い点線部が領域が再生されました(右図)。 |
| 年齢 | 81歳女性 |
|---|---|
| 治療内容 | 初診時に左上の臼歯部に骨の吸収が認められます(左図)。再生療法を行い点線部が領域が再生されました(右図)。 |
| 年齢 | 49歳男性 |
|---|---|
| 治療内容 | 初診時に左下の臼歯部に骨の吸収が認められます(左図)。再生療法を行い点線部が領域が再生されました(右図)。 |


| 年齢 | 24歳男性 |
|---|---|
| 治療内容 | 初診時に左右下の臼歯部に歯肉の退縮が認められます(左二枚)。矯正治療が終了した1年後です。根面被覆術を行いました(右二枚)。 |
| 年齢 | 48歳女性 |
|---|---|
| 治療内容 | 初診時に左右上の前歯から臼歯部にかけて歯肉の退縮が認められます(左)。根面被覆術を行いました(右)。 |
| 年齢 | 63歳男性 |
|---|---|
| 治療内容 | メンテナンス時に右下の前歯が割れてしまいました。根の治療後にワイヤーで歯を引っ張り出したあと、歯冠長延長術を行い被せ物をしました。 |
| 年齢 | 25歳女性 |
|---|---|
| 治療内容 | 初診時に左上の前歯が割れて来院されました。根の治療後にワイヤーで歯を引っ張り出したあと、歯冠長延長術を行い被せ物をしました。 |
| 年齢 | 48歳男性 |
|---|---|
| 治療内容 | 初診時に左下の被せ物がとれて来院されました。根の治療後に、歯冠長延長術を行い被せ物をしました。 |
| 年齢 | 26歳女性 |
|---|---|
| 治療内容 | 初診時に左下の臼歯部の被せ物が外れて来院(左図)。根の治療後に、歯冠長延長術を行い被せ物をしました(右図)。 |
| 年齢 | 39歳女性 |
|---|---|
| 治療内容 | 初診時に左上の臼歯部の被せ物が外れて来院(左図)。歯冠長延長術を行い被せ物をしました(右図) |
| 年齢 | 50歳女性 |
|---|---|
| 治療内容 | 初診時に左上の臼歯部の被せ物が外れて来院(左図)。歯冠長延長術を行い被せ物をしました(右図) |
| 年齢 | 32歳女性 |
|---|---|
| 治療内容 | 初診時に左上の臼歯部の被せ物が外れて来院(左図)。歯冠長延長術を行い被せ物をしました(右図) |
| 年齢 | 58歳女性 |
|---|---|
| 治療内容 | 初診時に全体的に虫歯が進行していました(左図)。歯冠長延長術を全体的に行い被せ物をしました(右図) |
以下に記載の治療は、自由診療のため保険適用外となります。
| FMD (全顎SRP) | 100,000円 |
|---|
| FOP(フラップ手術) | 100,000円 |
|---|---|
| クラウンレングスニング(歯冠延長術) | 100,000円/3歯まで |
| GTR(歯周組織再生療法) | 150,000円 |
| 遊離歯肉移植術 | 100,000円/3歯まで |
| 結合組織移植術 | 100,000円/3歯まで |
※料金は全て税別となります。
都立大学の歯医者|呂歯科診療所
| 診療時間 | 午前 | 午後 |
|---|---|---|
| 月曜 | 9:30-12:30 | 14:00-18:00 |
| 火曜 | 9:30-12:30 | 14:00-18:00 |
| 水曜 | 9:30-12:30 | 14:00-18:00 |
| 金曜 | 9:30-12:30 | 14:00-18:00 |
| 土曜 | 9:30-14:00 | - |
| 休診日 | 木曜・日曜・祝日 | |
〒152-0031 東京都目黒区中根1-7-3
リバブル都立大ビル3F
都立大学駅から徒歩3分